Сила Сибири. 
 И мы – не газопровод.

Красноярск

Самое важное: Красноярск

Передел транспортного рынка: кто выиграет, а кто останется за бортом

В Красноярском крае снова говорят о транспортной реформе. Слово «реформа» здесь звучит уже не первый год, но теперь разговоры перешли в фазу конкретных планов.

Анна Моль

ТранспортЭкономика и бизнесКрасноярск

6717

11.10.2025

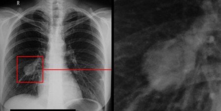
Красноярские медики запатентовали новый метод диагностики рака лёгких

Специалисты Центра ядерной медицины Федерального Сибирского научно-клинического центра ФМБА России разработали и запатентовали инновационный способ диагностики рака лёгких. Новый метод позволит выявлять заболевание на ранних стадиях и обнаруживать даже мельчайшие метастазы.

ЗдоровьеНаука и технологииКрасноярск

302

15.10.2025

В Красноярске обновят фасады 180 домов к 400-летию города

К юбилею Красноярска приведут в порядок фасады домов в историческом центре и вдоль крупных городских улиц. Об этом сообщили в пресс-службе мэрии.

БлагоустройствоЖКХКрасноярск

507

15.10.2025

Расследования: Иркутск

Депутатский контроль. Ростислав Антонов и предвыборная шумиха

Если обратить внимание на шумиху вокруг депутата горсовета Новосибирска по избирательному округу №6 Ростислава Антонова, можно наткнуться на достаточно большое количество интересных историй.

Адриан Орлов

ПолитикаСкандалыНовосибирск

20577

09.09.2025

Александр Коропачинский: седьмым будет?

Информация от следователей о том, что число фигурантов в скандальном деле мэра Красноярска Владислава Логинова увеличилось ещё на семь человек, вызвал настоящую бурю в красноярском закулисье.

Вера Назарова

Экономика и бизнесНедвижимостьРасследованияКрасноярск

16015

01.10.2025

Урановый бунт в Монголии: о заражении в Гоби и будущем «Росатома»

Громкий скандал вокруг уранодобычи в Монголии усиливается. После задержания российского физика Андрея Ожаровского и его заявления о радиоактивном загрязнении пустыни Гоби репутация местных властей и международных инвесторов оказалась под ударом.

Есения Линней

Экономика и бизнесЭкологияСкандалыМонголия Россия

17454

04.09.2025

«Уволенный» — не значит «Проигравший». Дмитрий Грушевой планирует обжаловать решение суда

Уволенный накануне глава посёлка Линёво Новосибирской области Дмитрий Грушевой всё ещё не отошёл от политической деятельности. 28 июня 2025 года он вручал награды и благодарности от администрации в преддверии Дня посёлка ветеранам спорта.

Андрей Тихонов

ОфициозЭкономика и бизнесСкандалыНовосибирск

38022

18.07.2025

Горячее: Красноярск

Разлив нефтепродуктов в Диксоне: как «уборка Арктики» превратилась в новую экологическую катастрофу

Прокуратура Красноярского края начала проверку после сообщений жителей Диксона о крупном разливе нефтепродуктов на территории бывшего морского порта. Люди присылают видео, на которых видно: земля пропитана черной жидкостью, а вокруг валяются покореженные металлические баки.

Анна Моль

РасследованияЭкологияКрасноярск

640

15.10.2025

Муниципальная реформа Котюкова: чем дальше в лес, тем больше дров

Муниципальная реформа, инициированная губернатором Михаилом Котюковым и его первым замом Сергеем Пономаренко в апреле 2025 года, понемногу начинает реализовываться. Вот только вопреки обещаниям её инициаторов, реализация реформы обнажает многочисленные подводные камни. Расскажем о некоторых из них.

Анна Роменская

ОбществоПолитикаСкандалыКрасноярск

3872

14.10.2025

На благо себе: горсовет Красноярска принял законопроект о повышении пенсий чиновникам

14 октября депутаты городского совета Красноярска рассмотрели проект о повышении пенсий муниципальным служащим. Речь идет об аудиторах Счетной палаты, мэре, спикере городского парламента и его заместителе, а также о депутатах горсовета, работающих на постоянной основе.

Александр Тубин

ПолитикаСкандалыКрасноярск

480

15.10.2025

В Красноярском крае рыбак провалился под лёд и утонул

В Красноярском крае на озере Раухова Мельница произошла трагедия — под лёд провалился и утонул 31-летний мужчина. По данным спасателей, он вышел на тонкий осенний лёд, чтобы порыбачить, но поверхность не выдержала его вес.

ПроисшествияКрасноярск

247

15.10.2025

Интервью и эксклюзив

Эксклюзив Бабра. Юлий Буркин о Гарри Гаррисоне, Сергее Лукьяненко и Ливерпуле

Не так давно в сети появился ролик, в котором московский журналист рассказывает о том, что ему в руки попали пластинки, найденные при странных, можно сказать, загадочных обстоятельствах. В одном из домов на окраине столицы соседи не видели хозяев больше двадцати лет.

Анна Леро

КультураКак по-писаномуТомск

114136

31.01.2025

«Без тени не бывает света»: Бато Шойнжонов о театре, кино и созидательном посыле. Интервью Бабра

Актер Бурятского драматического театра Бато Шойнжонов сыграл главную роль в фильме «9 секунд» о подвиге Героя России Алдара Цыденжапова.

Виктор Кулагин

КультураБурятия Россия

87713

05.12.2024

Культура под арестом: как долги ведут к продаже имущества ДК «Байкал» в Усть-Баргузине. Эксклюзив Бабра

22 сентября управление федеральной налоговой службы по Бурятии добилось возбуждения исполнительного производства № 145101/25/98003-ИП. Объектом взыскания стал культурно-информационный центр (КИЦ) в посёлке Усть-Баргузин. Сумма долга перед бюджетом составила 388 тысяч рублей.

Виктор Кулагин

ПолитикаКультураБурятия

17528

02.10.2025

Выборы главы Баргузинского района. Эксклюзив Бабра

Баргузинский район Бурятии переживает период управленческого кризиса после отставки главы Михаила Мишурина. Его, переизбранного на второй срок, уволил глава Бурятии Алексей Цыденов по утрате доверия.

Виктор Кулагин

ПолитикаСкандалыРасследованияБурятия

78341

28.04.2025

Последние статьи: Красноярск

На благо себе: горсовет Красноярска принял законопроект о повышении пенсий чиновникам

14 октября депутаты городского совета Красноярска рассмотрели проект о повышении пенсий муниципальным служащим. Речь идет об аудиторах Счетной палаты, мэре, спикере городского парламента и его заместителе, а также о депутатах горсовета, работающих на постоянной основе.

Александр Тубин

ПолитикаСкандалыКрасноярск

694

15.10.2025

Разлив нефтепродуктов в Диксоне: как «уборка Арктики» превратилась в новую экологическую катастрофу

Прокуратура Красноярского края начала проверку после сообщений жителей Диксона о крупном разливе нефтепродуктов на территории бывшего морского порта. Люди присылают видео, на которых видно: земля пропитана черной жидкостью, а вокруг валяются покореженные металлические баки.

Анна Моль

РасследованияЭкологияКрасноярск

761

15.10.2025

Муниципальная реформа Котюкова: чем дальше в лес, тем больше дров

Муниципальная реформа, инициированная губернатором Михаилом Котюковым и его первым замом Сергеем Пономаренко в апреле 2025 года, понемногу начинает реализовываться. Вот только вопреки обещаниям её инициаторов, реализация реформы обнажает многочисленные подводные камни. Расскажем о некоторых из них.

Анна Роменская

ОбществоПолитикаСкандалыКрасноярск

3963

14.10.2025

Нам пишут. За что наградили экс-министра Васильева на агропромышленной выставке?

Красноярский край принял участие в ежегодной выставке «Золотая осень» в Москве. Делегацию возглавил министр сельского хозяйства Дмитрий Воропаев, также участвовал председатель комитета по делам села и агропромышленной политике Заксобрания Владислав Зырянов.

Валерий Лужный

ОбществоПолитикаЭкономика и бизнесКрасноярск

4929

14.10.2025

Худшие главы Красноярского края: рейтинг Бабра за сентябрь

Бабр представляет вниманию читателей антирейтинг глав муниципальных районов и городских округов Красноярского края. 3.

Александр Тубин

ПолитикаСкандалыКрасноярск

5830

14.10.2025

14 октября — Покров Пресвятой Богородицы

Покров Пресвятой Владычицы нашей Богородицы и Приснодевы Марии, отмечаемый 14 октября (1 октября по юлианскому календарю), — это, в первую очередь, русский православный праздник.

Эля Берковская

ИсторияРелигияКультураМир

5422

14.10.2025

Телеграм Красноярска за неделю. Толоконский, Саар и Одинцов

Бабр представляет обзор ключевых событий и обсуждений в красноярском сегменте мессенджера Telegram за неделю с 6 по 12 октября включительно. Красноярск – это деревня Бывший губернатор Красноярского края Виктор Толоконский назвал Красноярск деревней.

Анна Роменская

ОбществоПолитикаСкандалыКрасноярск

5033

13.10.2025

Ачинск остался без мусорного полигона. Что теперь делать с отходами и кто виноват

В Ачинске остановлена лицензия на городской полигон твердых бытовых отходов. Это означает, что объект официально не может больше принимать мусор. Казалось бы, рядовое событие в череде бюрократических решений, но на деле — экологическая и бытовая катастрофа для целого региона.

Анна Моль

ЭкологияЖКХЭкономика и бизнесКрасноярск

5332

13.10.2025

Непосильные тарифы в Красноярском крае, или Тепло для избранных

В Красноярском крае в преддверии отопительного сезона для десятков тысяч жителей установили непосильные тарифы на тепло, а во многих населённых пунктах края теплосети рискуют и вовсе остаться без какого-либо обслуживания.

Валерий Лужный

ЖКХОбществоСкандалыКрасноярск Россия

7718

13.10.2025

Энни Холл голливудского экрана. Ушла из жизни Дайан Китон

11 октября в Лос-Анджелесе скончалась звезда трилогии «Крёстный отец» и фильмов Вуди Аллена, лауреат премий «Оскар», BAFTA и «Золотой глобус» Дайан Китон. До 80‑летнего юбилея великая американская актриса театра и кино не дожила менее трёх месяцев. Печальную новость сообщил журнал People.

Филипп Марков

It`s my life...КультураМир

6040

13.10.2025

Бабродвиж в Красноярске: игра «Вкус Сибири», мастер-класс «Осенний пейзаж» и спектакль «Любовь и голуби»

Бабр представляет список самых интересных мероприятий Красноярска на предстоящую неделю. С 12 по 17 октября жители и гости города смогут посетить мастер-классы, спектакли и игры.

Денис Миронов

КультураСобытияКрасноярск

11399

11.10.2025

Передел транспортного рынка: кто выиграет, а кто останется за бортом

В Красноярском крае снова говорят о транспортной реформе. Слово «реформа» здесь звучит уже не первый год, но теперь разговоры перешли в фазу конкретных планов.

Анна Моль

ТранспортЭкономика и бизнесКрасноярск

6732

11.10.2025

Инсайд. Новосибирск – город с самым большим потенциалом?

Виктор Толоконский вступил в заочную полемику с известным российским дизайнером Артемием Лебедевым: по потенциалу Новосибирск превосходит не только Красноярск, но и ряд других российских городов, включая Москву и Санкт-Петербург … Красноярск, по сравнению с Новосибирском, деревня.

Ярослава Грин

ПолитикаНовосибирск Красноярск

10386

10.10.2025

Инсайд. Оптимизация краевой медицины продолжается

Наконец-то краевая администрация высказалась про оптимизацию медицины официально и публично. Всё будет так, как мы предупреждали ещё в июне. Край постепенно уйдёт от нынешней модели, когда в каждом районе есть свои больницы. Сейчас за пределами Красноярска 58 больниц.

Кирилл Богданович

ЗдоровьеОбществоПолитикаКрасноярск

7412

10.10.2025

Нам пишут. Привязались со своими дорогами...

Нового губернатора Михаила Котюкова часто критикуют за кадровые проблемы в правительстве края. Неэффективные министры, обезглавленные ведомства. И как-то все позабыли, что ведь существует в природе председатель правительства КК господин Верещагин.

Валерий Лужный

ОбществоПолитикаСкандалыКрасноярск

6784

10.10.2025

Сессия Заксобрания. Поправки в бюджет и отчет Часовитина

Депутаты Законодательного собрания Красноярского края собрались на сессию уже второй раз за неделю. И дело не в какой-либо спущенной сверху инициативе по типу муниципальной реформы, которую необходимо в срочном порядке протащить через парламент.

Александр Тубин

ПолитикаКрасноярск

6035

10.10.2025

КрайДЭО: миллионы, дым и безнаказанность

В Красноярском крае снова громкий скандал вокруг государственной дорожной компании. Следственный комитет возбудил уголовное дело о мошенничестве в особо крупном размере.

Анна Моль

Экономика и бизнесРасследованияКрасноярск

6416

09.10.2025

Теперь и Саар: дело дорожной мафии разрастается

Правоохранительные органы задержали бывшего главу Назарово Владимира Саара. Как сообщает Следственный комитет Красноярского края, в отношении него возбуждено уголовное дело о получении взятки.

Александр Тубин

ПолитикаРасследованияКрасноярск

10324

08.10.2025

Праздник середины осени

В ночь с 6 на 7 октября 2025 года (в 03:48 GMT, 06:48 МСК) наступает Урожайное суперлуние — ближайшее ко дню осеннего равноденствия полнолуние, когда ночное светило кажется особенно большим и ярким. В честь полной осенней Луны у народов Восточной Азии принято устраивать Праздник середины осени.

Эля Берковская

ИсторияКультураМир

3964

07.10.2025

Нам пишут. Для кого освобождают земли и просят ограничить скот?

Как хорошо тут, е-мое! У Вас в деревне все свое, Картошка, морковка, парное молоко, А как здесь дышится легко… Поневоле несколько дней из головы не выходит эта песня про деревню.

Валерий Лужный

ОбществоЭкономика и бизнесКрасноярск

6896

07.10.2025

Последние новости

15.10 17:47
Депутатскую проверку по бюджету 2024 года назначили депутаты ЗС Прибайкалья

15.10 17:00
«Мать года» из Тулуна пустила за руль 11-летнего сына

15.10 16:32
Коммунальные предприятия Асиновского района погасили 3,2 миллиона рублей задолженности за уголь и электроэнергию

15.10 16:17
Жителя Томской области осудят за незаконно выловленного в 2023 году осетра

15.10 16:15
Корпорация «Эрдэнэс Монгол» поможет с возрождением монгольского города Хархорум

15.10 16:03
В Северске завершился ремонт ещё двух участков автодорог из плана 2026 года

15.10 15:57
В Монголии построят современный завод по переработке и сжиганию ила

15.10 15:47
В Новосибирске с районной администрации взыскали штраф за сломанный позвоночник у девочки

15.10 15:32
За отдых в Китае иркутянам придётся платить больше

15.10 15:16
В Красноярске выкупят гаражи для строительства виадука в Железнодорожном районе

15.10 15:11
В Красноярске обновят фасады 180 домов к 400-летию города

15.10 14:48
Незаконных майнеров задержали в Иркутске

15.10 14:27
Проект бюджета Красноярского края на 2026-2028 годы внесли в Законодательное собрание. Об этом сообщает краевой Минфин

15.10 14:22
В Красноярском крае рыбак провалился под лёд и утонул

15.10 14:18
Красноярские медики запатентовали новый метод диагностики рака лёгких

15.10 14:15
В детской хирургии Красноярской больницы №20 родители пожаловались на антисанитарию

15.10 13:09
Следователи проверяют информацию о нарушении прав жителей дома по улице Нахимова в Томске

15.10 12:57
Наталья Дикусарова до конца года уйдёт в правительство?

15.10 12:51
23-летняя девушка устроила подпольное казино в центре Улан-Удэ

15.10 12:30
В Новосибирске завершают реставрацию остановки «Строительной»

15.10 12:03
В Иркутской области опять отложили банкротство «Усольехимфарма»

15.10 11:42
Романа Колесова согласовали на пост первого зампреда губернатора Прибайкалья

15.10 11:27
В Томске двое парней ограбили 14-летнего подростка. Возбуждено уголовное дело

15.10 11:21
Андрея Соковикова согласовали на пост первого заместителя председателя правительства Прибайкалья

Лица Сибири

Бердников Александр Васильевич

Бураев Федор

Побойкин Виктор

Беспалов Дмитрий

Кузнецова Алеся

Дронова Ксения

Пуляев Геннадий

Солженицын Степан

Курамшина Елена

Тугаринова Ирина