Сила Сибири. 
 И мы – не газопровод.

Здоровье

Статьи и новости рубрики "Здоровье"

В Новосибирской области изъяли более 41 килограмма рыбы

В Новосибирской области за девять месяцев 2025 года изъяли более 41 килограмма рыбы. Об этом сообщили в пресс-службе регионального Роспотребнадзора. Сотрудники управления исследовали 733 пробы рыбы и морепродуктов для проверки микробиологических и прочих показателей.

Экономика и бизнесЗдоровьеНовосибирск

1878

15.10.2025

Врачей в Бурятии стало больше, а очереди в поликлиниках длиннее. Почему так?

В медицинских учреждениях Бурятии на конец 2024 года официально оставались незакрытыми более 500 врачебных вакансий. Об этом сообщает научное исследование аспиранта ИМБТ СО РАН Дабы Цыденова, опубликованное в журнале «Восточный азимут: экономика, социология, этнология».

Виктор Кулагин

ПолитикаЗдоровьеЭкономика и бизнесБурятия

5264

15.10.2025

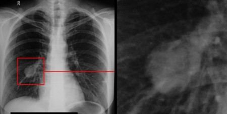
Красноярские медики запатентовали новый метод диагностики рака лёгких

Специалисты Центра ядерной медицины Федерального Сибирского научно-клинического центра ФМБА России разработали и запатентовали инновационный способ диагностики рака лёгких. Новый метод позволит выявлять заболевание на ранних стадиях и обнаруживать даже мельчайшие метастазы.

ЗдоровьеНаука и технологииКрасноярск

534

15.10.2025

В детской хирургии Красноярской больницы №20 родители пожаловались на антисанитарию

Жители Красноярска сообщают о неудовлетворительных условиях в детском хирургическом отделении краевой клинической больницы №20. По словам родителей, в палатах и санитарных комнатах отсутствуют мыло и туалетная бумага, а на процедурах для детей нарушаются санитарные нормы.

ЗдоровьеЭкономика и бизнесОбществоКрасноярск

1742

15.10.2025

В Новосибирской области сотрудница медучреждения получил условный срок за фиктивный больничный лист

В Новосибирской области работнице медицинского учреждения назначили условный срок за получение взятки. Об этом сообщили в пресс-службе областной прокуратуры. В 2022 году к женщине обратился знакомый с просьбой помочь оформить больничный лист. За это он пообещал денежное вознаграждение.

Экономика и бизнесЗдоровьеНовосибирск

2719

14.10.2025

В Новосибирской области построили новую детскую поликлинику

В Барабинске Новосибирской области построили новую детскую поликлинику. Об этом сообщили в пресс-службе правительства региона. Новое здание площадью примерно пять тысяч квадратных метров сможет обслуживать 250 человек в сутки.

ЗдоровьеНовосибирск

647

14.10.2025

Скорая помощь по-томски: медики назвали новые автомобили «фуфлом для галочки»

Пафосная раздача ключей от новеньких машин скорой помощи, устроенная губернатором Владимиром Мазуром в августе этого года, обернулась громким скандалом. Спустя пару месяцев выяснилось, что в шести автомобилях «Соболь», закупленных на бюджетные 40 миллионов рублей, практически невозможно работать.

Октябрина Тихонова

ОбществоЭкономика и бизнесЗдоровьеТомск

4835

14.10.2025

С владельца собаки, укусившей трёхлетнего ребёнка в Холмах, могут взыскать 60 тысяч компенсации

Прокуратура Кировского района Томска обратилась в суд, потребовав взыскать с владельца собаки в пользу трехлетнего ребенка компенсацию морального вреда. В коттеджном поселке Холмы в Томском районе 10 сентября на трехлетнего мальчика напала собака и укусила его в область груди.

ПроисшествияЗдоровьеТомск

699

14.10.2025

В Новосибирской области фиксируют снижение заболеваемостью ОРВИ

В Новосибирской области по итогам прошлой недели фиксируют снижение заболеваемостью ОРВИ. Об этом сообщили в пресс-службе Роспотребнадзора по региону. Заболевших на прошлой неделе было на 5,4% меньше, чем неделей ранее. Количество случаев ОРВИ у детей зафиксировали на отметке в 11777 случаев.

ЗдоровьеНовосибирск

589

14.10.2025

В Улан-Удэ косметолога уличили в приобретении контрафактного препарата

Прокуратура Советского района Улан-Удэ устроила проверки соблюдения законодательства об обращении лекарств и медицинских изделий в аптеках, медучреждениях и в косметологических кабинетах.

ЗдоровьеБурятия

812

13.10.2025

В Новосибирске назначили нового директора клиники Мешалкина

В Новосибирске назначили нового директора клиники Мешалкина. Им стал Евгений Тарасюк. Соответствующее решение принял Министр здравоохранения России Михаил Мурашко. Евгений Тарасюк будет исполнять обязанности директора с 14 октября сроком на пять лет.

ЗдоровьеОфициозНовосибирск

735

13.10.2025

Инсайд. И снова о лудуповщине

Есть такой старый, советский ещё, анекдот: - Алё, это пожарная часть? У нас тут врач с милиционером дерутся, прямо не знаем, куда звонить. Именно его, вероятно, вспомнили, сотрудники улан-удэнского караоке-бара "Гавана", в минувшую пятницу, 3 октября.

ЗдоровьеОбществоСкандалыБурятия

1017

13.10.2025

Инсайд. Оптимизация краевой медицины продолжается

Наконец-то краевая администрация высказалась про оптимизацию медицины официально и публично. Всё будет так, как мы предупреждали ещё в июне. Край постепенно уйдёт от нынешней модели, когда в каждом районе есть свои больницы. Сейчас за пределами Красноярска 58 больниц.

Кирилл Богданович

ЗдоровьеОбществоПолитикаКрасноярск

7842

10.10.2025

В Прибайкалье льготники могут остаться без лекарств

Льготники Иркутской области до конца 2025 года могут остаться без льготных лекарств, поскольку при корректировке бюджета денег на них не предусмотрено. Об этом говорили на заседании комитета по здравоохранению Законодательного собрания региона.

ПроисшествияЗдоровьеЭкономика и бизнесИркутск

6131

10.10.2025

В Красноярском крае у 1500 жителей выявили рак во время диспансеризации

В Красноярском крае у 1500 человек выявили рак во время диспансеризации. По информации территориального фонда обязательного медицинского страхования, за девять месяцев 2025 года диспансеризацию и профилактические осмотры прошли около 790 тысяч жителей региона.

ЗдоровьеОбществоКрасноярск

1233

09.10.2025

В Новосибирской области снизилась заболеваемость ОРВИ

В Новосибирске за прошедшую неделю с 29 сентября по 5 октября зафиксировали снижение заболеваемости ОРВИ. Об этом сообщили в пресс-службе регионального Роспотребнадзора. Всего за прошедшую неделю зафиксировали 22 327 случаев ОРВИ. Это на 12,39% меньше, чем неделей ранее.

ЗдоровьеОфициозНовосибирск

1212

08.10.2025

В Новосибирской области 36 групп детских садов отправили на карантин

В Новосибирской области в детских садах 36 групп отправили на карантин из-за заболеваемости ОРВИ. Об этом сообщил заместитель министра образования НСО Владимир Щукин. «Из этих 36 групп две – Куйбышевский район, одна – в Кольцово, одна – в Кыштовском районе, остальные – в городе Новосибирске.

ЗдоровьеОбразованиеНовосибирск

1374

07.10.2025

В Томской области с респираторными инфекциями к медикам обратились 8614 человек

За минувшую неделю с 29 сентября по 5 октября в Томской области с признаками острых респираторных инфекций и гриппа к медикам обратились 8614 человек. Болеют представители всех возрастов, но в основном – 4344 человека – от 15 лет и старше. Госпитализированы 79 человек, в том числе 63 ребенка.

ПроисшествияЗдоровьеТомск

1506

07.10.2025

Телеграм Бурятии за неделю: сессия Хурала и продолжение скандала в онкодиспансере

Бабр представляет обзор ключевых событий и обсуждений в бурятском сегменте мессенджера Telegram за неделю с 29 сентября по 6 октября включительно. Петь и плясать некогда 30 сентября состоялась 13-я сессия Народного Хурала.

Есения Линней

ПолитикаЗдоровьеСкандалыБурятия

12568

06.10.2025

Инсайд. Об увольнении главврача республиканского онкодиспансера

Весьма неоднозначна новость об увольнении главврача онкодиспансера Инессы Шагдуровой под прессом общественного мнения. Это же больше тема всяких европейских демократий, где руководители заискивают перед народом для поддержания своих рейтингов. И мы поддались этому.

Фокс Смит

ЗдоровьеОбществоСкандалыБурятия

2145

06.10.2025

В Новосибирске запустят дополнительный автобус до инфекционной больницы

В Новосибирске запустят дополнительный автобус по маршруту №254 до поселка Садового, где находится инфекционная больница. Об этом сообщили в пресс-службе правительства области. До этого по маршруту курсировал только один автобус. Новый транспорт запустили благодаря государственной поддержке.

ТранспортЗдоровьеНовосибирск

1831

03.10.2025

Офтальмологи из Канады проведут больше 140 операций в Монголии

Офтальмологи из канадского хирургического фонда Лорел заключили договор о сотрудничестве с Объединенной больницей аймака Увс в Монголии. Об этом сообщает ИА «Монцамэ».

ЗдоровьеМонголия

1930

03.10.2025

В районных больницах Красноярского края врачей переводят на ночные дежурства из дома

В Красноярском крае в ряде районных больниц часть врачей и среднего медперсонала теперь дежурит ночью не в стационарах, а из дома. Об этом рассказал депутат Заксобрания Алексей Бойков, опубликовавший ответ регионального Минздрава на свой запрос.

ЗдоровьеКрасноярск

2007

03.10.2025

Сдача поликлиники в ЮВ дальше, чем кажется

23 сентября 2025 года прокуратура Томской области сообщила о проверке строительства поликлиники в Южных воротах. ТДСК якобы не отстаёт от графика и должна сдать объект до 1 ноября. При этом готовность медучреждения – 79%. Успеют ли?

Андрей Игнатьев

ЗдоровьеОбществоЭкономика и бизнесТомск

8501

02.10.2025

Пятилетняя «лудуповщина»: почка навынос и гепатит в подарок

Представьте, что во время лечения вас заражают опасным вирусом или случайно удаляют здоровый орган. Эти истории могли лечь в основу сюжета триллера, но стали суровой реальностью медицины в Бурятии.

Есения Линней

ЗдоровьеОбществоСкандалыБурятия

3934

30.09.2025

В томском детсаду двухлетний ребёнок упал с лавочки и сломал бедро

В одном из дошкольных учреждений города Томска двухлетний ребенок получил травму – перелом бедра. Следователи СУ СКР проводят доследственную проверку по факту травмирования дошкольника. По предварительным данным, после прогулки мальчик снимал обувь, сидя на лавочке: он потерял равновесие и упал.

ПроисшествияЗдоровьеТомск

2037

30.09.2025

В Томской области дикие звери покусали 60 человек. Одного укусил медведь

С начала 2025 года в Томской области 60 человек пострадали от укусов диких зверей. Зарегистрировано 17 укусов мышей, 14 – крыс, 12 – белок; четырех человек покусали суслики, по два раза – ондатры, бурундуки, ежи и летучие мыши, по одному разу – лиса, крот и медведь.

ПроисшествияЗдоровьеТомск

1910

29.09.2025

Состояние Зырянской райбольницы проверяют после жалоб жителей в соцсетях

Зырянская районная прокуратура проверяет состояние районной больницы, расположенной в селе Зырянское. Сообщения о плачевном состоянии райбольницы появились в соцсетях. Здание медучреждения требует капитального ремонта: в нем пришли в негодность коммуникации, стены, пол и потолки.

НедвижимостьЗдоровьеТомск

1901

29.09.2025

Почему иркутский бизнесмен Прокофьев считает, что почти каждый диабетик России должен ему 108 рублей?

Это уже третий материал о главном воротиле иркутской коммерческой медицины Сергее Прокофьеве.

Ярослава Грин

Экономика и бизнесЗдоровьеСкандалыИркутск

25124

29.09.2025

Телеграм Бурятии за неделю: случайное удаление почки и липовое обучение в ВСГУТУ

Бабр представляет обзор ключевых событий и обсуждений в бурятском сегменте мессенджера Telegram за неделю с 22 по 29 сентября включительно. За нечаянно бьют отчаянно В Улан-Удэ хирург по ошибке удалил… здоровую почку пожилой пациентке, перепутав её с другой больной.

Есения Линней

ЗдоровьеОбразованиеСкандалыБурятия

3220

29.09.2025

Инсайд. Скандал в онкодиспансере: заразившаяся гепатитом С пациентка скончалась

До сих пор многим памятна история, когда в Бурятском онкологическом диспансере сразу несколько пациентов были заражены гепатитом С.

ЗдоровьеОбществоСкандалыБурятия

2319

29.09.2025

В Бурятии отчитались о капремонте Кяхтинской ЦРБ

В Бурятии продолжается первый этап капитального ремонта здания стационара Кяхтинской ЦРБ. Рабочие уже завершили обновление кровли и вскоре приступят к ремонту помещений четвертого этажа. Об этом сообщили в Минздраве республики.

ЗдоровьеБурятия

1816

28.09.2025

В Новосибирской области 144 новосибирца пострадали от клещей за неделю

В Новосибирской области за неделю клещи покусали 144 новосибирца. Об этом сообщили в Роспотребнадзоре по региону. Из 144 человек клещи покусали 26 детей до 14 лет. Всего с начала сезона было зарегистрировано 13 775 случаев укуса клещей, где 3203 – дети.

ЗдоровьеНовосибирск

2008

26.09.2025

В Новосибирской области стали меньше болеть туберкулезом

В Новосибирской области стали меньше болеть туберкулезом. Об этом сообщили на научно-практической конференции 25 сентября, которая была посвящена столетию региональной фтизиатрической службы.

ЗдоровьеНовосибирск

1895

26.09.2025

В Монголии выявили случай заболевания сибирской язвой

Житель монгольского аймака Архангай заразился сибирской язвой. Анализы подтвердили ее кожную форму. Об этом 23 сентября сообщил ТАСС со ссылкой на местный центр исследования зоонозных инфекций. Отмечается, что мужчина участвовал в забое свыше 60 голов крупного рогатого скота.

ЗдоровьеМонголия

1932

24.09.2025

Фармацевтика России: новый лидер рынка

Российская фармацевтическая отрасль демонстрирует уверенный рост, и компания «Джинатэк» стала ярким примером этого подъема. Созданная в январе 2022 года на базе группы компаний «Фармасинтез», она быстро заняла заметное место на рынке.

Лера Крышкина

Экономика и бизнесЗдоровьеИркутск

19640

24.09.2025

Следователи и прокуратура проводят проверку в детском инфекционном отделении томской ГКБ №1

Следственные органы СУ СКР по Томской области с 23 сентября организовали доследственную проверку по сообщениям соцсетей о несвоевременном оказании медицинской помощи семимесячному ребенку в одной из больниц города Томска.

ПроисшествияЗдоровьеТомск

2013

24.09.2025

В Новосибирской области зафиксировали почти 29 тысяч случаев ОРВИ

В Новосибирской области за прошедшую неделю с 15 по 21 сентября выявили 28 979 случаев заболевания ОРВИ. Об этом сообщили в пресс-службе регионального Роспотребнадзора. Случаев заболевания ОРВИ среди детей до 14 лет за прошедшую неделю – 15 492 ребенка.

ЗдоровьеНовосибирск

1964

23.09.2025

В Новосибирской области выявили три очага бешенства

В Новосибирской области выявили три очага бешенства. Информация об этом появилась на сайте правительства региона. Вспышки бешенства выявили в деревне Мальково, поселке Рощинском и селе Тальянка. Сейчас там введен карантин до 19 ноября.

ПроисшествияЗдоровьеНовосибирск

2055

22.09.2025

В Красноярском крае фиксируют высокое количество впервые выявленных наркозависимых

Красноярский край занял четвёртое место среди регионов России по количеству впервые установленных диагнозов наркомании в 2024 году. Показатель края составил 16,5 случая на 100 тысяч населения, сообщает «РИА Новости» со ссылкой на данные Минздрава РФ.

ЗдоровьеКрасноярск

1942

22.09.2025

Лор-отделение томской ГКБ №3 получило операционный микроскоп стоимостью 16,5 миллиона

Лор-отделение томской Городской клинической больницы №3 имени Б.И. Альперовича получило новый операционный микроскоп. Оборудование стоимостью 16,5 миллиона рублей приобретено на средства областного бюджета.

Наука и технологииЗдоровьеТомск

2038

18.09.2025

Новую поликлинику открыли в 103 микрорайоне Улан-Удэ

17 сентября в 103 микрорайоне Улан-Удэ торжественно открыли новый трехэтажный филиал Городской поликлиники № 2. Об этом сообщили в пресс-службе правительства Бурятии. Площадь нового медучреждения составляет свыше пяти тысяч квадратных метров.

ЗдоровьеБурятия

1895

18.09.2025

Иркутская область не доживает до пенсии. «Стратус» и болезни сердца

В Иркутской области с января 2025 года заработали шесть Центров здоровья. Власти обещают, что к 2030 году их станет двенадцать. Расширение идет в рамках федерального проекта «Здоровье для каждого», который включён в нацпроект «Продолжительная и активная жизнь».

Анна Моль

ЗдоровьеЭкономика и бизнесОбществоИркутск

18011

18.09.2025

Около 3,9 тысячи человек пострадали от укусов клещей в Бурятии

В Бурятии, по данным на 16 сентября, за медпомощью из-за укусов клещей обратился уже 3881 человек. Укусы зарегистрировали во всех районах региона и окрестностях Улан-Удэ, сообщает местное управление Роспотребнадзора. «Осенью клещи все еще активны.

ЗдоровьеБурятия

1894

17.09.2025

В Томске после заболевания учеников школы «Открытие» гастроэнтеритом возбуждено уголовное дело

После доследственной проверки в Томске возбуждено уголовное дело об оказании услуг, не отвечающих требованиям безопасности жизни и здоровья потребителей (часть 1 статьи 238 УК РФ). В первую неделю учебного года несколько учеников томской школы №46 (школа «Открытие») заболели гастроэнтеритом.

РасследованияЗдоровьеТомск

11079

17.09.2025

Более 12 тысяч жителей Прибайкалья заболели ОРВИ за неделю

В Иркутской области за неделю с 8 по 14 сентября в поликлиники с симптомами ОРВИ обратились 12 324 человека. 7884 из них — дети, сообщает пресс-служба Управления Роспотребнадзора по региону. Вирус гриппа пока не обнаружен. Больше всего заболевших детей — школьники от семи до 14 лет.

ПроисшествияЗдоровьеИркутск

1933

17.09.2025

Учёные ТГУ: новые доступные прототипы хирургического клея и кровоостанавливающего средства

9 сентября стало известно, что учёные Томского государственного университета создали две разработки для применения в сфере хирургии.

Андрей Тихонов

Наука и технологииЗдоровьеОбразованиеТомск

3936

16.09.2025

Новая поликлиника в бурятском селе Хоринск готова на 60%

В селе Хоринск в Бурятии продолжается возведение новой поликлиники по нацпроекту «Продолжительная и активная жизнь». Это быстровозводимое сооружение из модульных конструкций – оно готово уже на 60%. Об этом 16 сентября сообщили в управлении капстроительства республики.

ЗдоровьеБурятия

1927

16.09.2025

Доследственная проверка проводится в Томске после вспышки гастроэнтерита в школе «Открытие»

Следственные органы СУ СКР по Томской области организовали доследственную проверку после заболевания гастроэнтеритом нескольких учеников томской школы «Открытие».

ПроисшествияЗдоровьеТомск

2043

16.09.2025

В Новосибирской области зафиксировали более 24 тысяч человек с ОРВИ

В Новосибирской области с 8 по 14 сентября у 24 379 человек выявили ОРВИ. Об этом сообщили в Роспотребнадзоре по региону. Показатель 2025 года на 15% меньше, чем за аналогичный период 2024 года. Сейчас в регионе прививки поставили более 250 тысяч человек, из них 87 тысяч детей.

ЗдоровьеОфициозНовосибирск

2007

16.09.2025

Последние новости

16.10 08:47
Из Томской области в КНР с начала 2025-го экспортировано 263,9 тонны кедрового ореха

16.10 07:52
В рейтинг лучших университетов мира вошли ИГУ и ИРНИТУ

15.10 22:09
Бурятия получит еще девять миллионов рублей на соцподдержку

15.10 18:54
В Новосибирской области восстановили плодородный слой почвы

15.10 18:49
В Новосибирской области изъяли более 41 килограмма рыбы

15.10 18:30
Два новосибирца предстанут перед судом за незаконный оборот наркотиков

15.10 18:24
В Новосибирской области виновник смертельного ДТП отправлен на три года в колонию

15.10 17:47
Депутатскую проверку по бюджету 2024 года назначили депутаты ЗС Прибайкалья

15.10 17:00
«Мать года» из Тулуна пустила за руль 11-летнего сына

15.10 16:32
Коммунальные предприятия Асиновского района погасили 3,2 миллиона рублей задолженности за уголь и электроэнергию

15.10 16:17
Жителя Томской области осудят за незаконно выловленного в 2023 году осетра

15.10 16:15
Корпорация «Эрдэнэс Монгол» поможет с возрождением монгольского города Хархорум

15.10 16:03
В Северске завершился ремонт ещё двух участков автодорог из плана 2026 года

15.10 15:57
В Монголии построят современный завод по переработке и сжиганию ила

15.10 15:47
В Новосибирске с районной администрации взыскали штраф за сломанный позвоночник у девочки

15.10 15:32
За отдых в Китае иркутянам придётся платить больше

15.10 15:16
В Красноярске выкупят гаражи для строительства виадука в Железнодорожном районе

15.10 15:11
В Красноярске обновят фасады 180 домов к 400-летию города

Лица Сибири

Кудрук Вячеслав

Башняк Екатерина

Прушинская Екатерина

Новожилов Владимир

Шпетер Александр

Грешилов Алексей

Шангин Василий

Бендер Леонид

Егорова Лариса

Юрин Евгений